
임신 9주차부터 입덧약을
복용하기 시작했다.
입덧약을 먹지 않으면
아침부터 속이 울렁거리고
하루종일 불쾌감이 지속되었다.
처음에는 취침 전 공복에 2정을 복용했고,
약을 먹고 자면 다음 날
아침의 울렁거림은 사라졌다.
입덧 외에도
피로감과 무기력함, 활동량 감소
대부분의 시간을 누워있었다.
임신 전에는 비교적 활동적이고
열정적으로 바쁜 일정을 소화했으나,
임신 후 무기력함이 심해져 일상적인 활동조차
부담스럽게 느껴지는 시기가 시작되고 있다.
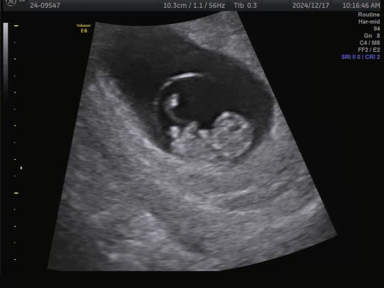
산부인과 정기진료 초음파

9주 2일차,
초음파 상 태아의 심장 박동수는
173bpm으로 규칙적으로 뛰고 있었고,
현재까지 별다른 이상 소견은 없었다.


태아는 하리보처럼 팔다리의 형태가
눈에 보이기 시작했다.
입체 초음파도 처음 보고 왔다.
다음 진료는 1차 기형아 검사가
진행된다는 안내를 받았다.
지난 번 정기 진료 시 시행한
혈액검사 결과는 약 일주일 뒤에
문자가 왔다.
결과에 따르면 비타민 D 수치가 낮아
보충제 복용이 필요하다고 안내를 받았고,
B형 간염 항체가 없어 12주 이후 예방 접종이
필요하다고 설명도 들었다.
산전검사를 따로 진행하지 않았던 입장에서,
이번 결과를 통해 산전검사의 중요성을
체감하게 되었다.
B형 간염 예방접종 안내 및 임신 중 비타민 D 수치
B형 간염 예방접종에 대한
자세한 설명도 함께 받았다.
예방접종은 인근 보건소를 통해
총 3차에 걸쳐 이루어지며,
1차 접종은 12주 이후에 가능하고,
2차는 그로부터 1개월 후,
3차는 다시 5개월 후에 맞게 된다.
따라서 총 7개월이 소요되어
출산 예정일과도 겹칠 수 있는데,
담당 선생님께서 2차 접종까지만 맞아도
괜찮다고 설명해주셨다.
3차는 출산 전이든 후이든
일정에 맞춰 완료할 예정이다.
또한, 임신 전 약 3개월 전부터 비타민 D
2,000IU(1정)를 꾸준히 섭취해왔으나,
수치가 낮은 편으로 확인되었다.
섭취량을 4,000IU(2정) 용량으로
조정하여 복용 중이다.
비타민 D는 임신 중 태아의 골격 형성과
면역 기능에도 중요한 영향을 미치는
영양소이기 때문에, 출산 전까지 일정량 이상을
유지할 수 있도록 관리할 예정이다.
입덧약 복용 방법 정리
취침 전 1일 2정 복용
증상 지속 시 3일째부터
아침 1정 추가 복용
(총 1일 3정)
증상 지속 시 4일째부터
오후 중반에 1정 추가 복용
(총 1일 4정)
입덧약은 물과 함께
공복에 복용한다.
부수거나, 자르거나, 씹어서는
안 되고 통째로 삼켜야 한다.