
1차 기형아 검사 & 목투명대(NT) 검사
10-13주 사이에 진행되는 1차 기형아 검사는
태아의 다운증후군, 에드워드증후군, 신경관결손
위험도를 평가하는 중요한 검사다.
특히 목투명대 측정은 태아의 목 뒤 투명한
공간의 두께를 초음파로 측정하는 검사인데,
이 두께가 증가할수록 염색체 이상 위험도가
높아질 수 있다.
목투명대 정상 범위는 1.0mm~2.5mm 사이이며,
3.5mm 이상이면 고위험군으로 분류되어
정밀검사나 NIPT 검사가 권유될 수 있다.
산부인과 진료


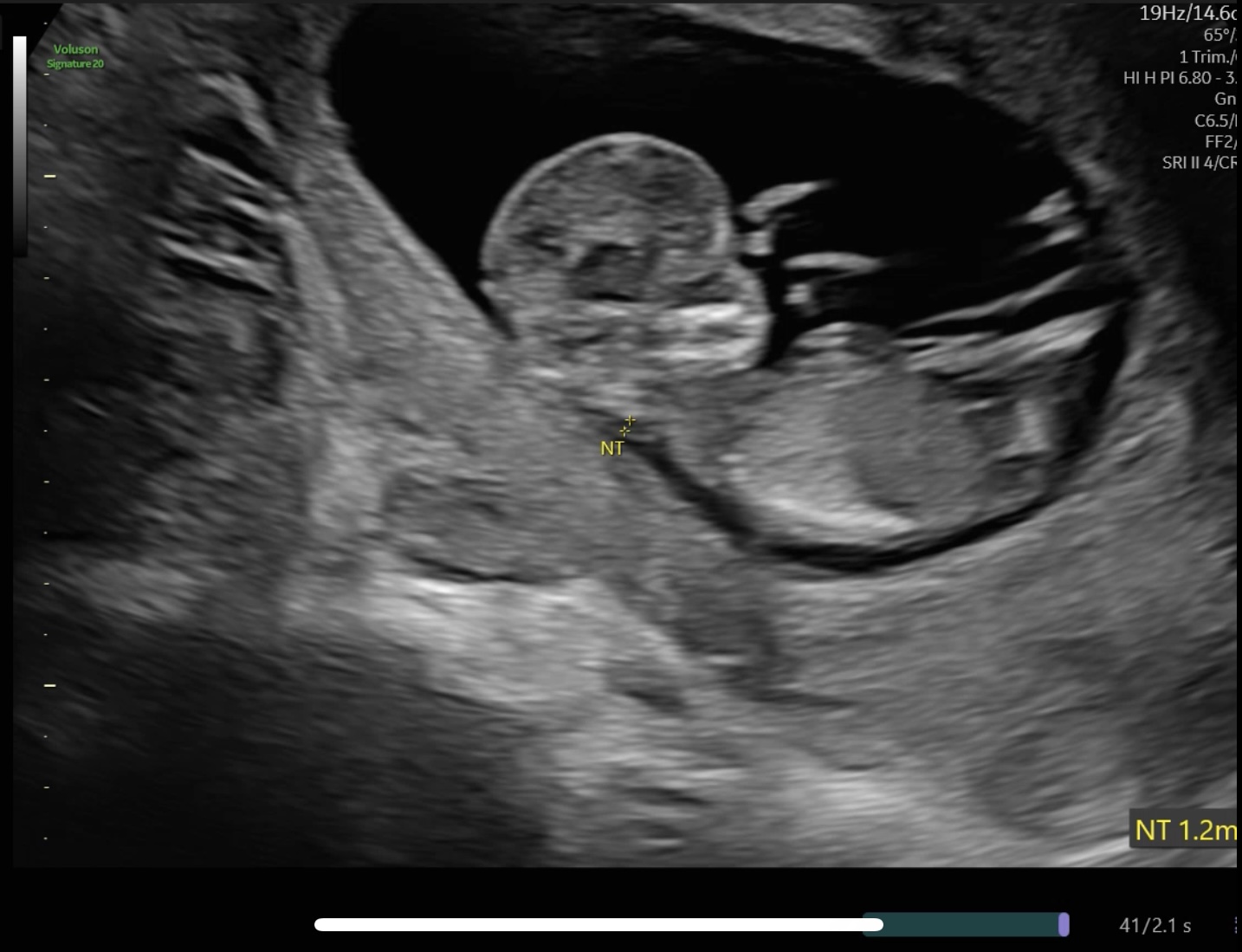
12주 2일차에 1차 기형아 검사를 진행하였다.
NT(목투명대) 수치는 1.2mm로 정상 범위로 측정됨.
검사 5일 후, 저위험군이라는 문자 통보를 받았다.
혈액검사 결과와 초음파 소견을 종합적으로
판단한 결과였다.
아이의 성장 상태는 평균 주수에 맞게 잘 크고,
심장박동수도 확인하고 왔다.
입덧 및 증상
아침에는 양치 도중 공복 상태에서 구토가 발생했으며,
마치 아주 과음한 다음 날처럼 노란 위액을 토하는 일이
반복됐다.
저녁 시간대에도 구토 증상이 심해졌으며,
식사는 거의 하지 못했고, 음료수, 아이스크림,
과일 등만 간단히 섭취했다.
그러나 메스꺼움이 심한 날에는
먹은 것도 모두 토해냈다.
임신 전에는 술자리를 즐겼지만,
지금 시기에는 술 생각이 전혀 나지 않았고,
마시고 싶다는 생각도 들지 않았다.
또한, 베개의 높이에 따라 목에 이물감이 느껴지는
현상도 있었는데, 역류성 식도염 증상처럼
입덧의 한 형태로 나타난 것이었다.
왜 임산부 입덧 베개가 따로 있는지 이해가 됐지만,
직접 사용하진 않았고, 대신 나에게 맞는 베개 높이를
조절해가며 사용했다.
일상 및 입덧 중 음식



입덧 중 지인에게 카카오톡 선물로 받은
'토닥토닥 간식박스'는 건강식을 중심으로
구성되어 있으며, 그 중 도라지 캔디가
입덧 완화에 가장 도움이 됐다.
상품권 같은 선물 또한 필요하거나 먹고 싶은 것을
구입하는데 유용하게 사용했다.



어느 날은 꽃게가 먹고 싶어서 다녀왔다.
매콤한 꽃게찜이 입맛에 잘 맞았고,
아침, 점심, 저녁 중 점심에는 속이 괜찮았다.
그 외에도 입덧으로 인해 매콤한 음식이나
시원한 냉면이 많은 도움이 되었다.
다음 글에서는 임신 16-18주차 증상과 함께
시기의 일상을 정리해보려 한다.