
임신 증상
임신 31주차 이후부터 다리 종아리 뭉침이
이전보다 더 자주 느껴지기 시작했다.
골반 통증도 함께 새로 생겼다.
자세 변화나 보행 시 골반 쪽 불편감이
느껴지는 경우가 있었다.
입덧약은 하루 한 알, 자기 전에 복용 중이며
현재까지는 효과가 잘 유지되고 있다.
다만 하루라도 복용하지 않으면
속 울렁거림이 바로 나타나고,
다음 날 점심 식사 후에는
구토 증상이 발생해 복용을 지속하고 있다.
다리가 붓거나 하는 증상은 아직 없다.
임신 32주차에는 손톱이 갑자기
짧아진 것처럼 느껴지는 체감 변화도 있었다.
임당 확정 후 산부인과 정기진료
임신 31주 4일차, 임당 확정 이후
산부인과 정기진료를 받았다.
진료 전, 임당과 관련해 내과 진료를 받았는지
여부를 먼저 확인받았고,
내과에서 식이조절 위주로 관리해보자는
안내를 받았다고 전달했다.
식후 혈당을 120 이하로 유지하는 것이
이상적인 수치이긴 하지만,
이를 매번 엄격하게 맞추려고 하면 음식이
지나치게 제한될 수 있다는 점을 말씀해주셨다.
기본적으로는 120 이하가 나오면 좋지만,
가끔 수치가 조금 오르는 정도까지는
크게 문제 삼지 않아도 된다는 설명이었다.
진료 중에는 아기 상태에 대한 설명도
함께 들을 수 있었다.
임신 30주가 지나면 아기가 눈을 뜰 수도 있는
시기이지만, 반드시 눈을 뜨고 있는 것은 아니라고 했다.
양수 속에 있기 때문에 눈을 깜빡이는 움직임이
보일 수는 있지만, 계속 눈을 뜨고 있는 상태는
아니라는 설명이었다.


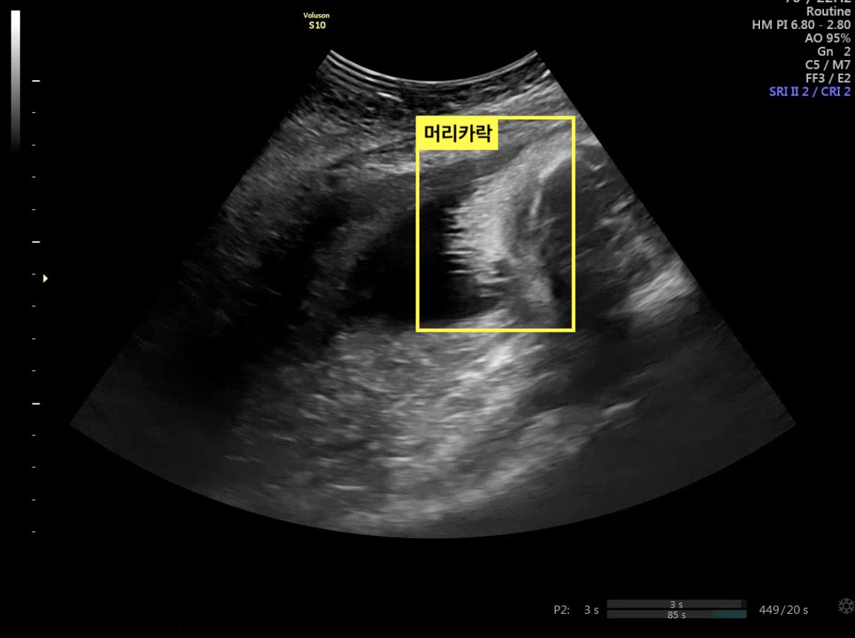
초음파 검사에서는 아기의 머리카락이
자라 있는 모습도 확인할 수 있었다.
임신 주수가 진행되면서 초음파로 관찰되는
아기의 모습이 이전과는 확연히 달려졌다는 점을
체감한 진료였다.
다음 진료는 막달검사 한다는 안내를 받았다.
막달검사로는 피검사, 소변검사, 심전도, X-ray,
질 분비물 검사를 진행할 예정이다.
피검사는 임당과 관련해 혈당 수치 한번 더
확인해보자고 하셨다.
산부인과 정기진료(2)
임신 34주 4일차,
막달 검사 결과, 빈혈 수치는 12.1로 정상 범위였고
수치 자체는 좋은 편이라고 했다.
다만 철분제를 중단하면 다시 떨어질 수 있기 때문에
철분제는 계속 복용하라는 안내를 받았다.
혈당 수치는 아침 식사 후 기준 102 정도로
정상 수치에 해당해 큰 문제는 없다고 했다.
태동검사에서는 아기가 잘 움직이고 있어
상태는 양호했다.
현재 아기의 위치는 다리가 아래,
머리가 위에 있는 상태였고
거꾸로 위치해 있을 경우 머리 직경이
실제보다 조금 크게 보일 수 있다고 했다.
체중은 약 2.4Kg, 심박수도 정상 범위였다.
양수량은 12.9로 충분한 상태였고,
초음파상 얼군은 탯줄이 많이 가리고 있어
또렷하게 보이지 않았다.
고양이 체조 등을 통해 자세가 바뀌는 경우도 있지만,
체조를 한다고 반드시 돌아오는 것은 아니며,
다음 진료에서도 거꾸로일 경우
수술 날짜를 잡을 수 있다고 안내 받았다.
역아 돌리기 운동의 기본은
엉덩이보다 어깨가 내려오고,
한번할 때 5분씩 하고, 하루에 2번 이상
하라고 하셨다.
식사 후 바로 운동을 하게 되면
아기 머리가 엄마 위를 누르고 자극하기 때문에
구토하거나 현기증이 날 수 있다.
낮에 운동을 하려면 식후 2시간 지나서
해야한다고 하셨다.
34주 후반에도 역아를 돌릴 수 있을지,
정기 진료 후 4일 지나고부터
태동이 배꼽 부근에서 강하게 느껴지고 있는데
다음 포스팅에 역아가 돌아왔는지
초음파 정기 진료 후 작성할 예정이다.
'열달기록' 카테고리의 다른 글
| [임신말기]39주차, 40주차 | 산부인과 정기진료, 유도분만 결정 및 출산 준비 (0) | 2025.12.30 |
|---|---|
| [임신말기]35주차, 36주차, 37주차, 38주차 | 산부인과 정기진료, 역아 돌리기, 유도분만, 막달운동 (0) | 2025.12.17 |
| [임신말기] 임산부 임당 확정, 내과 내분비내과 방문, 혈당 및 식단 관리 (0) | 2025.11.04 |
| [임신말기]27주차, 28주차, 29주차, 30주차 | 산부인과 정기진료, 임신성 당뇨(임당) 검사, 2차 임당 검사 확정 (0) | 2025.10.28 |
| [임신중기]23주차, 24주차, 25주차, 26주차 | 증상, 산부인과 정밀 초음파 검사, 임산부 갈증 및 목마름 (0) | 2025.10.21 |