
산부인과 정기진료
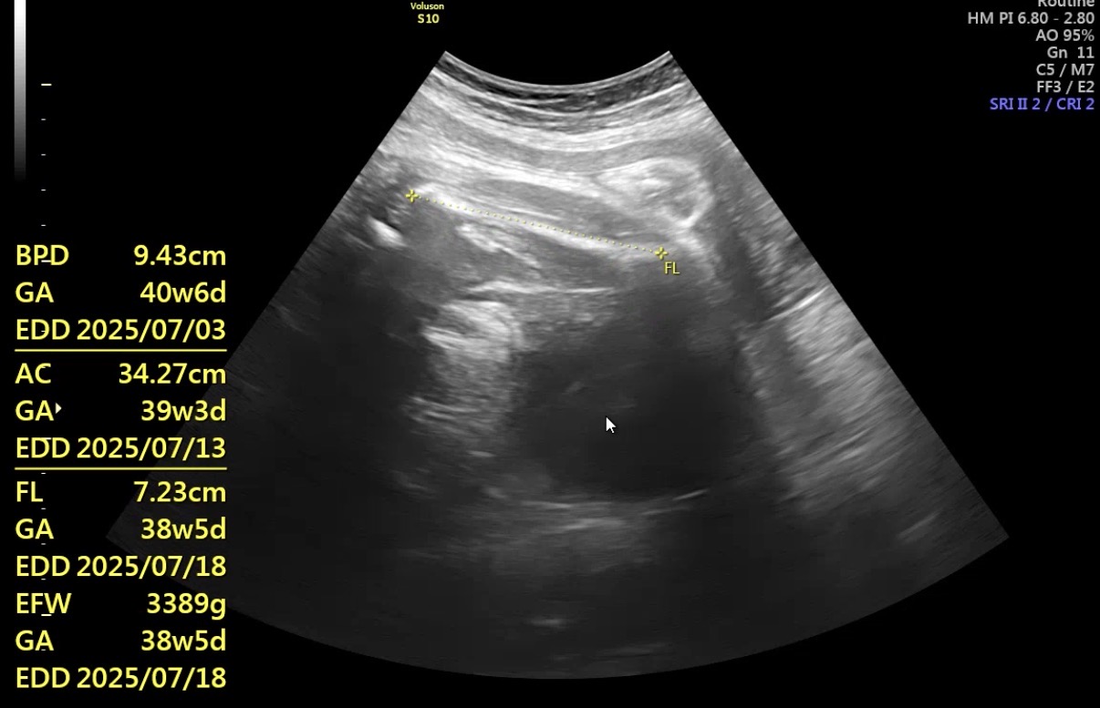
임신 37주 1일,
이전 포스팅에서 정기진료(34주4일차)에 역아였는데,
머리가 다시 아래쪽으로 내려왔다.
배꼽 부근에 태동이 느껴지면
역아가 아니였다는 생각이 든다.
배도 많이 무겁고 속이 매스꺼워
역아 돌리기 운동은 거의 하지 못했는데
다시 돌아온 상태라 자연분만을
시도해볼 수 있게 되었다.
아이가 뱃속에서 딸꾹질을 자주해서
딸꾹질이 어디에서 느껴지는지도
역아를 예측해볼 수 있었다.
이전에는 거꾸로 상태에서 진통이 오면
문제가 될 수 있었지만,
현재는 진통이 오면 자연분만을
시도해볼 수 있는 상황이라고 하셨다.
임신성 당뇨와 관랜해서는 고위험군에
해당되긴 하지만, 현재 혈압은 괜찮은 상태였다.
다만 임신성 당뇨가 있는 경우
막달에도 임신중독증이 발생할 가능성이 높기 때문에,
의료 모자 시험 사업(국가사업)에
등록하는 것이 좋겠다는 설명을 들었다.
국가 시책에 따라 등록해 두는 것이
대학병원 연계 등 추후 진행에 있어
더 원활하다는 이유였다.
아이가 크거나 다른 문제가 있을 경우 수술을
고려했지만, 현재 상태로는 그럴 필요는
없어보인다는 설명을 들었다.
다만 태동이 평소보다 갑자기 절반 이하로
느껴질 경우에는 언제든 병원으로
바로 오라는 안내를 받았다.
이제는 조산이 아니라 주수를 다 채운 시기로
보기 때문에, 양수가 새거나 진통이 오면
분만을 진행하면 된다고 했다.
다음 진료는 일주일 뒤인 38주에 진행하기로 했고,
그때는 내진을 통해 아기 머리가 내려오고 있는지,
자궁문이 열리고 있는지,
자궁경부가 얼마나 부드러워졌는지를
확인할 예정이라고 했다.
앞으로는 일주일 간격으로 진료를 보기로 했다.
산부인과 정기진료 (2)
38주 3일차,


오늘 진료에서는 아기 상태를 먼저 확인하고,
이후 내진을 통해 분만 진행 상황을 살펴보기로 했다.
최근 배뭉침은 간간히 느껴지고 있었지만,
참을 만한 정도였다.
내진 결과, 자궁문은 아직
열리지 않은 상태라고 했다.
배가 많이 아파서 병원에 와도 자궁문이 전혀
열리지 않은 경우도 있고,
반대로 6cm 이상 열려 있어도 통증을
거의 느끼지 못하는 산모도 있어
통증과 개대 정도는 개인차가
있다고 설명을 들었다.
현재 상태를 고려했을 때,
일주일 정도 더 지켜본 뒤 필요하다면
유도분만 날짜를 잡는 것이 나을 수도
있겠다는 이야기도 나왔다.
머리는 아래로 내려와 있지만,
골반 안으로는 아직 충분히
내려오지 않았다는 의미라고 했다.
내진 후에는 운동의 필요성에 대해
다시 한 번 강조했다.
골반 자체는 좋은 편이지만,
현재로서는 아기가 내려올 준비를 하고 있는
상태는 아니라는 설명이었다.
자궁문이 어느 정도 열린 상태에서
진통이 오면 분만 진행이 비교적 빠르지만,
전혀 열리지않은 상태에서 진통이 시작되면
시간이 오래 걸릴 수 있다고 했다.
운동을 권하는 이유는 자궁문이 조금이라도
열린 상태에서 진통이 와야 보다 수월하게
분만으로 이어지길 바라는 목적이라고 했다.
유도분만에 대해서는,
자연 진통이 오지 않을 경우 약물을 사용해
진통을 유도하는 것이며,
억지로 아기를 꺼내는 방식은
아니라는 점도 함께 설명을 들었다.
다음 진료는 일주일 뒤 다시 아기 상태를
확인하면서 진행하기로 했다.
'열달기록' 카테고리의 다른 글
| 임신 기간 동안 산부인과 진료 횟수 및 태아 성장 과정 (0) | 2026.01.21 |
|---|---|
| [임신말기]39주차, 40주차 | 산부인과 정기진료, 유도분만 결정 및 출산 준비 (0) | 2025.12.30 |
| [임신말기]31주차, 32주차, 33주차, 34주차 | 임신 증상, 임당 확정 후 산부인과 정기진료, 역아 돌리기 (0) | 2025.12.16 |
| [임신말기] 임산부 임당 확정, 내과 내분비내과 방문, 혈당 및 식단 관리 (0) | 2025.11.04 |
| [임신말기]27주차, 28주차, 29주차, 30주차 | 산부인과 정기진료, 임신성 당뇨(임당) 검사, 2차 임당 검사 확정 (0) | 2025.10.28 |